萎缩性胃炎图集 | 内镜集锦
萎缩性胃炎图集 | 内镜集锦

萎缩性胃炎是Hp感染胃黏膜中一种特征性胃炎。胃黏膜萎缩、肠上皮化生是发生分化型胃癌的背景。分化型胃癌发生的基本过程:正常胃黏膜——浅表性胃炎--萎缩性胃炎--肠化生-不典型增生--分化型胃癌。认识萎缩性胃炎、肠上皮化生对一个内镜医师至关重要。
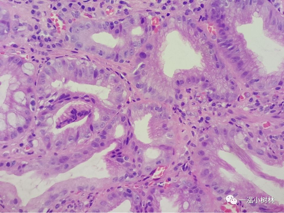
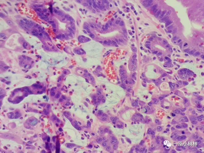
萎缩性胃炎普通内镜表现:黏膜苍白,黏膜下血管透见,黏膜皱襞细小或消失,病变黏膜粗糙呈颗粒状或结节状,伴有肠化时轻者常不可见,重者可见斑片状、点状米粒大小白色或灰白色隆起改变,另外萎缩黏膜与正常黏膜可见到萎缩边界。
NBI+ME内镜表现:萎缩区域NBI放大可见胃小凹消失或不清晰,树枝状血管显露,黏膜苍白及萎缩边界更明显,多以幽门胃窦部为中心,随着萎缩的加重,胃体黏膜也散见,肠化区域可见胃小凹呈绒毛状,可见到“亮蓝嵴”“白色不透明物质”征。
例1
男性,56岁,萎缩性胃炎+肠化+Hp感染




例2
女性,60岁,慢性萎缩性胃炎伴肠上皮化生,Hp+




例3
女性,40岁,萎缩性胃炎+Hp感染




例4
女性,42岁,萎缩性胃炎+肠化+Hp感染




亮蓝嵴(LBC):位于上皮细胞表面呈脑回样结构脊部的纤细、蓝白色的腺样结构。特征:NBI才能观察到。NBI显示亮蓝色细线样反光,位于上皮细胞边缘。提示肠上皮化生刷状缘。是内镜诊断胃黏膜肠上皮化生的有效标志。
自测










-
- 说说女士用的袖珍手枪,警员也可以贴身藏匿作为第二把应急枪
-
2025-09-27 02:11:41
-
- 六部影片定档五一,你最喜欢哪一部热
-
2025-09-26 05:19:09
-
- 看GDP 苏北五市均碾压黄山,玩旅游 一个黄山市吊打苏北五市有余
-
2025-09-26 05:16:54
-
- 韩国旅游,最受中国人欢迎的韩国家电?
-
2025-09-26 05:14:38
-
- 国家主权教育系列——认识国家领土
-
2025-09-26 05:12:22
-
- 广州新政,公租房解读,外地人能否申请广州公租房?末尾有解答
-
2025-09-26 05:10:06
-
- 屌丝三宝之迈锐宝改装合辑,将霸气进行到底
-
2025-09-26 05:07:50
-
- 穿越时光看清明:起源故 事,清明节的重要性知多少?
-
2025-09-26 05:05:35
-
- 不定积分经典练习,(secx)^3的原函数怎么求?
-
2025-09-26 05:03:19
-
- 《犬王》:忠诚与牺牲的悲壮赞歌
-
2025-09-26 05:01:03
-
- 足球英语你不知道的football和soccer的区别
-
2025-09-26 04:58:48
-
- 祁太秧歌展演
-
2025-09-24 21:53:48
-
- 证监会:IPO节奏放缓
-
2025-09-24 21:51:33
-
- 山东检察机关依法对商怀君决定逮捕
-
2025-09-24 21:49:17
-
- 法国敦刻尔克市附近发生枪击事件 造成5人死亡
-
2025-09-24 21:47:01
-
- 2020年贵州高考文理状元
-
2025-09-24 21:44:46
-
- 这些网上很火的梗,你知道几个?
-
2025-09-24 21:42:30
-
- #轻兵器科普#又被称为靴筒手枪:里迪击发机德林杰手枪
-
2025-09-24 21:40:14
-
- 广州华多网络科技取得商品排序处理方法及其装置、设备、介质、产品专利
-
2025-09-24 21:37:59
-
- 中国各省身份证号前两位数字(3)
-
2025-09-24 21:35:43



五本评分很高的自闭症男主文:你拥有全世界,而我的世界只有你
1995年,吴毅将与钟淑慧合作限制级电影,尺度敏感删减9分钟
宝藏女孩——陈钰琪全图写真合集
解放战争,林彪为何被叫“101”?这个代号有何寓意?
圣女贞德:美貌绝伦,率军抗击侵略者,落入敌手惨遭凌辱受刑而亡
推荐九本模拟经营小说,经营领地和商铺(二)
每日推书!五本牧场流小说,平平淡淡,我就养牛养马
号外|“天水南站—麦积山温泉”专线公交开通啦!高铁+温泉说走就走!
闽是哪个省的简称?闽字的来由
石家庄精英中学最全数据:班型、招生计划、录取分数线、费用……